Projektová výuka - Přírodopis v 6.třídě

Projektová výuka - Přírodopis v 6.třídě

V pátek jsme se vydali se šesťáky k místnímu rybníku, kde jsme odebrali vzorky vody. Zaznamenali jsme teplotu vzduchu i vody, vzhled rybníka a trasu zakreslili do mapy. Vzorky jsme popsali a uložili v lednici jako opravdoví biologové 🧑‍🔬
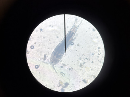
V pondělí pak přišla na řadu práce u mikroskopu. Žáci si sami připravili svůj první nativní preparát 💧 - kapka vody z rybníka na podložním sklíčku, krycí sklíčko navrch a pak už jen zaostřit. 🔎 To, co bylo vidět pod mikroskopem, předčilo očekávání - kromě sinic jsme našli spoustu drobných organismu, některé ještě v pohybu. 
Tímto uzavíráme kapitolu virů, bakterií a sinic a přesouváme se k zoologii, kde buchanky budou už jen opakováním. 😊

Ing. Tereza Kalianko

Fotogalerie